;

TRENDING ARTICLES PUBLISHED BY AMERICAN SCIENCE

American Journal of Case Reports and Clinical Images

Endosalpingiosis in a Young Woman: A Rare Culprit of Nonspecific Abdominal Pain – A Case Report and Literature Review

Hafsa Khalid, A. Mastrosimone

Case Report | 18 Apr 2026

Endosalpingiosis in a Young Woman: A Rare Culprit of Nonspecific Abdominal Pain – A Case Report an...
American Journal of Case Reports and Clinical Images

Unusual Culprit: Upper Gastrointestinal Bleed Following Influenza-A Infection in a Child

Nagaspurthy Reddy Anugu, MD, Sanjay Kumar, MD, Philip Fernandes, MD, Hernando Lyons, MD

A Case Report | 27 Feb 2026

Unusual Culprit: Upper Gastrointestinal Bleed Following Influenza-A Infection in a Child
American Journal of Case Reports and Clinical Images

Type IV Parastomal Hernia Repair and Simultaneous Colostomy Closure. Case Report

Lindsay Vejarano-Lezama, Lisbeth Huillca-Nez, Carlos Velasquez-Hawkins, Giancarlo Francois Castillo

A Case Report | 18 Feb 2026

Type IV Parastomal Hernia Repair and Simultaneous Colostomy Closure. Case Report
American Journal of Case Reports and Clinical Images

Pill Packet Predicament: Dysphagia as a Complication of Blister Pack Ingestion

Muhammad Ahmed Zaman, Amna Rashid Hanfee, Hasan Tauqeer, Yumna Shahid, Waqar Hussain

A Case Report | 15 Jan 2026

Pill Packet Predicament: Dysphagia as a Complication of Blister Pack Ingestion
American Journal of Case Reports and Clinical Images

A Tangled Tale: Trichobezoar in a Young Patient with Undiagnosed Celiac Disease

Espinal Niki, Lyons Hernando, Langenberg Scott, Kumar Sanjay

A Case Report | 25 Dec 2025

A Tangled Tale: Trichobezoar in a Young Patient with Undiagnosed Celiac Disease
American Journal of Case Reports and Clinical Images

Managing Aortic Valve Endocarditis with Cryoglobulinemia: A Multidisciplinary Case in a Young Patient

Dr. Tber Mohamedelamine, Dr. Hlal Monsef, Dr. Lhoumadi Hamza, Dr. Tawab Zogarh, Dr. Hasni Mohammed Ali

A Case Report | 18 Nov 2025

Managing Aortic Valve Endocarditis with Cryoglobulinemia: A Multidisciplinary Case in a Young Patien...
American Journal of Case Reports and Clinical Images

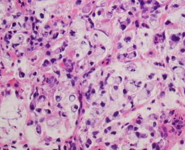
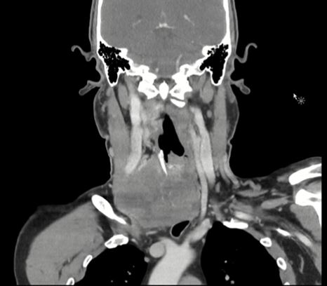
Thyroid Sarcoma: Case Report, Critical Literature Review, and Recent Advances

Juan Camilo Salgado Snchez, M.D, Oscar David Lucero Pantoja, M.D

A Case Report | 10 Nov 2025

Thyroid Sarcoma: Case Report, Critical Literature Review, and Recent Advances
American Journal of Case Reports and Clinical Images

An Uncommon Psychiatric-Dominant Presentation of Severe Hypothyroidism in a Young Adult

Sumeet Bhardwaj, Yuan Xie, Ali H. Thahab, Affan Naveed, Omer Khan, Kevin Tu, Thinh Mai

A Case Report | 15 Nov 2025

An Uncommon Psychiatric-Dominant Presentation of Severe Hypothyroidism in a Young Adult
American Journal of Case Reports and Clinical Images

Lupus Presenting with Evans Syndrome: Two Adult Cases

Hasan Tauqeer, Muhammad Ahmed Zaman, Amna Rashid Hanfee, Saman Ali

A Case Report | 12 Nov 2025

Lupus Presenting with Evans Syndrome: Two Adult Cases
American Journal of Case Reports and Clinical Images

Diagnostic Dilemma: Pulmonary Lymphangiocarcinomatosis as a Manifestation of Occult Signet Ring Cell Carcinomatosis

Aditya Anand, Vibhor Gang, Leonidas Plaaioddimos

A Case Report | 06 Nov 2025

Diagnostic Dilemma: Pulmonary Lymphangiocarcinomatosis as a Manifestation of Occult Signet Ring Cell...

Science news

image missing
21 April
#Anxiety #Case_Reports #behavioral_disorder

4 Ways to Start Eliminating Unneces...

World Journal of Case Reports & Clinical Images publishes novel research work conducted o...

image missing
06 December
#Alzheimers #Neurons

Deteriorating neurons: the source o...

US researchers administered a therapy to Alzheimers patient-derived neurons in the lab, eliminatin...

image missing
19 April
#heart_rhythm #vesicles #EuropeanHeartJournal

Cell-derived therapy may help repai...

A new study has found vesicles secreted from human heart cells may repair damaged tissue and preven...

image missing
23 March
#genome #mitochondria

Defective mitochondria could be rep...

Researchers have shown that it could be possible to modify the mitochondrial genome, paving the wa...

image missing
21 March
#neurons #psychology

Scientists identify neurons in the ...

New research in mice has identified neurons in the brain that influence competitive interactions b...

image missing
21 March
#bacteria #DNA

Some E. coli set off viral grenades...

A toxin called colibactin awakens dormant viruses embedded in bacterial DNA Some bacteria can tr...

Current Trends

image missing
24 March
#cancer #oncology #vaccine

Transforming the way cancer vaccine...

Researchers found that rational vaccinology increases potency by changing the structural location...

image missing
21 March
#endometriosis #ENDO

Pre-clinical models of endometriosi...

In this exclusive Q&A, Dr Paulina Nunez-Badinez, Scientific Researcher at Bayer AG, discusses p...

Latest Discovery News

ARTICLES PROMOTION



  •  
  •  

View More


  •  
  •  

View More


  •  
  •  

View More


  •  
  •  

View More


  •  
  •  

View More


  •  
  •  

View More

Indexing Partners

image-missing
image-missing
image-missing
image-missing
image-missing
image-missing
image-missing
image-missing
image-missing
image-missing
image-missing
image-missing
image-missing
image-missing
image-missing
image-missing
image-missing
image-missing
image-missing

Stay Up to Date